Радикальна лапароскопічна нефректомія справа

Урологія Нефректомія
Мiсце проведення:

Комунальне некомерційне підприємство "Черкаський обласний онкологічний диспансер ЧОР" Центр пластичної, реконструктивної, малоінвазивної онкоурології та трансплантації нирки.

Формат: Трансляція
За підтримки:

KARL STORZ Україна

Організатор

Роман Петрович Морару-Бурлеску

Завідувач обласним центром пластичної , реконструктивної та малоінвазивної онкоурології

уролог першої категорії, онкохірург першої категорії

Учасники

Городиський Іван Іванович

лікар-уролог

Голубнича Олена Миколаївна

операційна сестра

Про подію

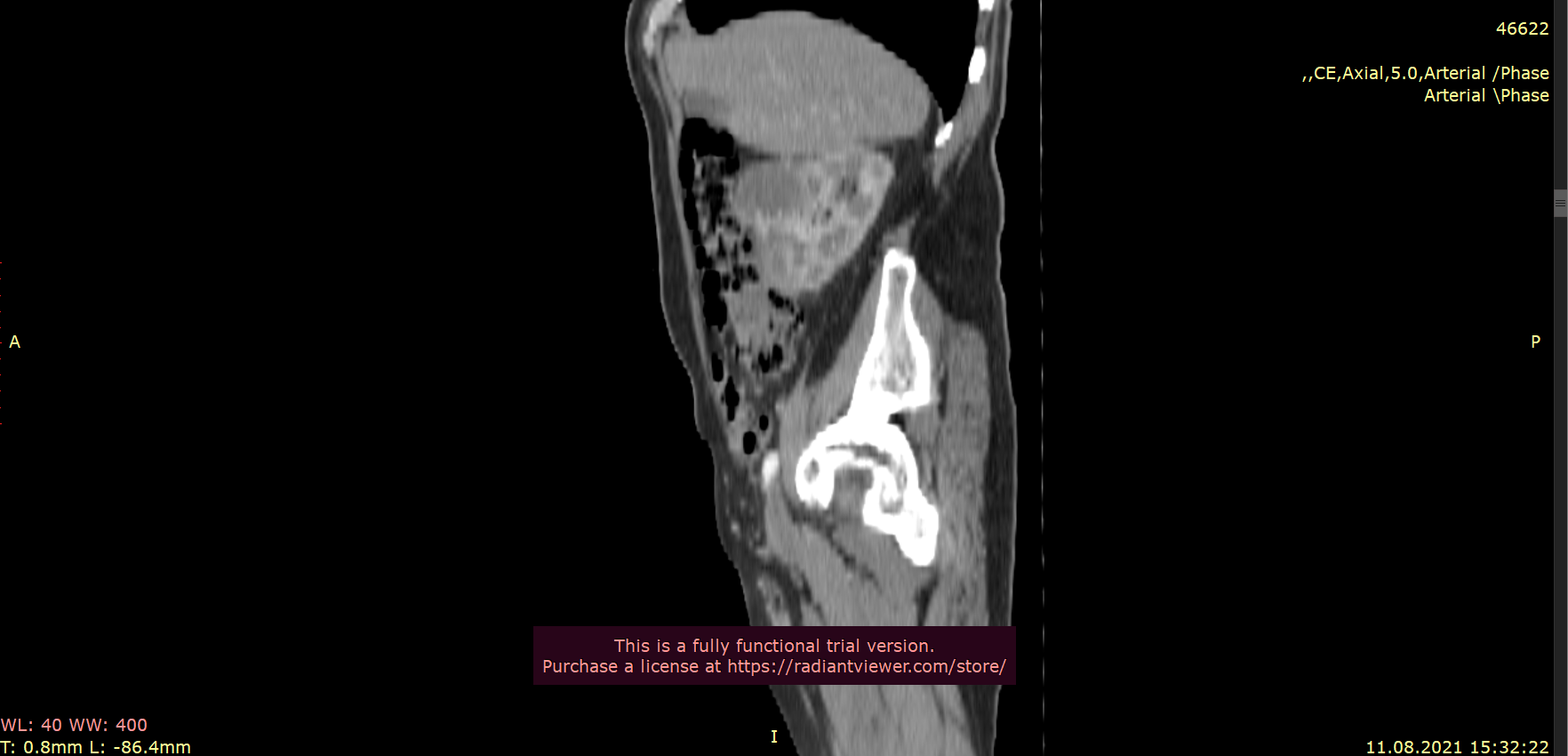
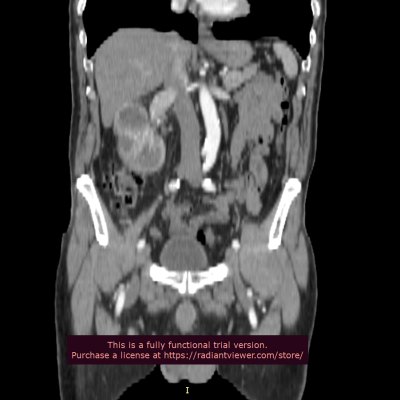
Права нирка типового положення, деформована за рахунок наявної неопластичної інфільтрації в передньо-латеральних відділах паренхіми середньо-нижнього сегментів з формуванням вузлового компоненту, що частково виходить за межі та деформує поверхню розміром 55*45 мм, структура гетерогенна з нерівномірним накопиченням контрасту, чітке відмежування від паренхіми – відсутнє. Нерівномірно сегментарно обтурован просвіт миски за рахунок інфільтрації на всьому протязі до рівня мисково-сечовідного сегменту.
Артерія – типового ретрокавального положення, без ознак обтурації просвіту, з наявною паравазальною інфільтрацією практично до рівня основи, інтактний відрізок до 17 мм від стінки аорти. Вена – шириною 25 мм, своєчасно контрастована, в ділянці воріт – втягнута в процес ураження, позаду та нижче на 11 мм від основної гілки від нижньої полої вени відходить гілка шириною до 3 мм, що васкуляризує нижній сегмент.

Висновок СКТ: Cr renis dextrae з тотальною інфільтрацією стінок миски, сформованим вузловим компонентом в передніх відділах середнього сегменту, інфільтрація поширюється вздовж стінок ренальної артерії, субтотально.

Мiсце проведення

Комунальне некомерційне підприємство "Черкаський обласний онкологічний диспансер ЧОР" Центр пластичної, реконструктивної, малоінвазивної онкоурології та трансплантації нирки.

КНП "Черкаський обласний онкологічний диспансер Черкаської обласної ради". Центр пластичної реконструктивної та малоінвазивної онкоурології. Черкаський обласний онкологічний диспансер – це сучасний спеціалізований медичний заклад третього рівня надання медичної допомоги, акредитований на вищу акредитаційну категорію, який забезпечує кваліфіковану, стаціонарну та консультативну поліклінічну допомогу населенню і здійснює методичне керівництво організацією протиракової боротьби в області

м. Черкаси вул. Менделєєва, 7